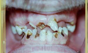
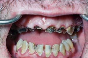
Photo of a meth user's mouth. Copyright Dr. Chris Heringlake, DDS, St. Cloud Correctional Facility.

What makes methamphetamine such an attractive high? Meth users report that after taking the drug they experience a sudden "rush" of pleasure or a prolonged sense of euphoria, as well as increased energy, focus, confidence, sexual prowess and feelings of desirability. However, after that first try, users require more and more of the drug to get that feeling again, and maintain it. With repeated use, methamphetamine exacts a toll on the mind and body, robbing users of their physical health and cognitive abilities, their libido and good looks, and their ability to experience pleasure. Here's how the body reacts to meth and the consequences of long-term abuse.
Meth and the Brain Visible Signs Meth Mouth Meth and Sex Other Effects
Meth and the Brain
- Meth releases a surge of dopamine, causing an intense rush of pleasure or prolonged sense of euphoria.
- Over time, meth destroys dopamine receptors, making it impossible to feel pleasure.
- Although these pleasure centers can heal over time, research suggests that damage to users' cognitive abilities may be permanent.
- Chronic abuse can lead to psychotic behavior, including paranoia, insomnia, anxiety, extreme aggression, delusions and hallucinations, and even death.
"There [are] a whole variety of reasons to try methamphetamine," explains Dr. Richard Rawson, associate director of UCLA's Integrated Substance Abuse Programs. "[H]owever, once they take the drug … their reasons are pretty much the same: They like how it affects their brain[s]." Meth users have described this feeling as a sudden rush of pleasure lasting for several minutes, followed by a euphoric high that lasts between six and 12 hours, and it is the result of drug causing the brain to release excessive amounts of the chemical dopamine, a neurotransmitter that controls pleasure. All drugs of abuse cause the release of dopamine, even alcohol and nicotine, explains Rawson, "[But] methamphetamine produces the mother of all dopamine releases."
For example, in lab experiments done on animals, sex causes dopamine levels to jump from 100 to 200 units, and cocaine causes them to spike to 350 units. "[With] methamphetamine you get a release from the base level to about 1,250 units, something that's about 12 times as much of a release of dopamine as you get from food and sex and other pleasurable activities," Rawson says. "This really doesn't occur from any normally rewarding activity. That's one of the reasons why people, when they take methamphetamine, report having this euphoric [feeling] that's unlike anything they've ever experienced." Then, when the drug wears off, users experience profound depression and feel the need to keep taking the drug to avoid the crash.
Brain scan images from Dr. Volkow's study. Image copyright Nora Volkow/American Journal of Psychiatry.
When addicts use meth over and over again, the drug actually changes their brain chemistry, destroying the wiring in the brain's pleasure centers and making it increasingly impossible to experience any pleasure at all. Although studies have shown that these tissues can regrow over time, the process can take years, and the repair may never be complete. A paper published by Dr. Nora Volkow, director of the National Institute on Drug Abuse, examines brain scans of several meth abusers who, after 14 months of abstinence from the drug, have regrown most of their damaged dopamine receptors; however, they showed no improvement in the cognitive abilities damaged by the drug. After more than a year's sobriety, these former meth users still showed severe impairment in memory, judgment and motor coordination, similar to symptoms seen in individuals suffering from Parkinson's Disease.
In addition to affecting cognitive abilities, these changes in brain chemistry can lead to disturbing, even violent behavior. Meth, like all stimulants, causes the brain to release high doses of adrenaline, the body's "fight or flight" mechanism, inducing anxiety, wakefulness and intensely focused attention, called "tweaking." When users are tweaking, they exhibit hyperactive and obsessive behavior, as journalist Thea Singer's sister Candy did on her meth binges. "When she was high, which was almost always, she had to be on the computer -- diddling with programs to make them run faster, ordering freebies on the Internet," writes Singer. "Then computers faded, and she was obsessed with diving into dumpsters -- rescuing audio equipment from behind Radio Shack, pens from behind Office Depot." Heavy, chronic usage can also prompt psychotic behavior, such as paranoia, aggression, hallucinations and delusions. Some users have been known to feel insects crawling beneath their skin. "He picks and picks and picks at himself, like there are bugs inside his face," the mother of one meth addict told The Spokesman-Review. "He tears his clothes off and ties them around his head." The same article told the story of another former addict, who, even after five years of sobriety, can't go to the bathroom without propping a space heater against the door, in case someone is after him.
Visible Signs
- Meth abuse causes the destruction of tissues and blood vessels, inhibiting the body's ability to repair itself.
- Acne appears, sores take longer to heal, and the skin loses its luster and elasticity, making the user appear years, even decades older.
- Poor diet, tooth grinding and oral hygiene results in tooth decay and loss.
One of the most striking effects of meth is the change in the physical appearance of meth users. Because meth causes the blood vessels to constrict, it cuts off the steady flow of blood to all parts of the body. Heavy usage can weaken and destroy these vessels, causing tissues to become prone to damage and inhibiting the body's ability to repair itself. Acne appears, sores take longer to heal, and the skin loses its luster and elasticity. Some users are covered in small sores, the result of obsessive skin-picking brought on by the hallucination of having bugs crawling beneath the skin, a disorder known as formication.
"Before" and "after" photos of Theresa Baxter. Copyright Multnomah County Sheriff
In addition, stimulants such as meth cause tremendous bursts of physical activity while suppressing the appetite, an attractive combination for many people who began using meth to lose weight. But while contemporary culture may idealize slim figures, heavy meth users often become gaunt and frail. Their day- or week-long meth "runs" are usually accompanied by tooth-grinding, poor diet, and bad hygiene, which lead to mouths full of broken, stained and rotting teeth.
While a meth high makes users feel more confident, attractive, and desirable, the drug is actually working to make them unattractive. "Some people I have in here over a hundred times, and I can look over a 10, 15, 20-year period and see how they've deteriorated, how they've changed." says Deputy Brett King, from Oregon's Multnomah County Sheriff's Department. "Some were quite attractive when they began to come to jail: young people who were full of the health and had everything going for them … and now they're a shell of what they once were." Curious about this particular effect of the drug, King began collecting mug shots of individuals who had been booked repeatedly with meth in their blood. One of the faces that made a particular impression on him was that of Theresa Baxter: "She came in, and she was quite visibly intoxicated by methamphetamine. She looked horrible. She looked at least 20 years older than she was. Her teeth were missing, and I looked back in her history, and at one time she was a fairly attractive young woman."
Meth Mouth
- "Meth mouth" is characterized by broken, discolored and rotting teeth.
- The drug causes the salivary glands to dry out, which allows the mouth's acids to eat away at the tooth enamel, causing cavities.
- Teeth are further damaged when users obsessively grind their teeth, binge on sugary food and drinks, and neglect to brush or floss for long periods of time.
A common sign of meth abuse is extreme tooth decay, a condition that has become known in the media as "meth mouth." Users with "meth mouth" have blackened, stained, or rotting teeth, which often can't be saved, even among young or short-term users. The exact causes of "meth mouth" are not fully understood. Various reports have attributed the decay to the corrosive effects of the chemicals found in the drug, such as anhydrous ammonia (found in fertilizers), red phosphorus (found on matchboxes) and lithium (found in batteries), which when smoked or snorted might erode the tooth's protective enamel coating; however, it's more likely that this degree of tooth decay is brought on by a combination of side effects from a meth high.
When meth is ingested, it causes the user's blood vessels to shrink, limiting the steady blood supply that the mouth needs in order to stay healthy. With repeated shrinking, these vessels die and the oral tissues decay. Similarly, meth use leads to "dry mouth" (xerostomia), and without enough saliva to neutralize the mouth's harsh acids, those acids eat away at the tooth and gums, causing weak spots that are susceptible to cavities. The cavities are then exacerbated by behavior common in users on a meth high: a strong desire for sugary foods and drinks, compulsive tooth grinding, and the general neglect of regular brushing and flossing.
Photo of a meth user's mouth. Copyright Dr. Chris Heringlake, DDS, St. Cloud Correctional Facility.
The extent of a tooth decay varies widely among meth users. A 2000 report in the Journal of Periodontology found that users who snorted the drug had significantly worse tooth decay than users who smoked or injected it, although all types of users suffered from dental problems. Anecdotal evidence also suggests that the degree of tooth decay is not necessarily dependent on the length of drug use. "[O]ne gentleman I saw said he used it for four months and there was nothing except for root tips left in his mouth," said Dr. Athena Bettger, a dentist who practices two days a week at the Multnomah County Jail in Portland, Ore. "Whereas another gentleman I saw said he was using it for four years, and … I think three teeth needed to come out and he needed a couple of fillings because of the cavities."
Dentists like Dr. Bettger, who practice in America's prisons and jails, have seen some of the worst cases of "meth mouth," and state correctional facilities are feeling the impact on their budgets. In August 2005, National Public Radio reported that dental costs in the Minnesota Department of Corrections had doubled in the past five years, mostly due to the extensive dental work performed on former meth addicts. Although there are no quantitative studies to document this phenomenon, anecdotal evidence supports this trend. Dr. Chris Heringlake, a dentist in at St. Cloud Correctional Facility in Minnesota, told NPR that he first saw "meth mouth" eight years ago, and now he sees it every day. Dr. Bettger has also noticed this trend in Oregon: "The general trend that I am seeing is that there is a definite increase. … There are more and more teeth that need assistance and there are more and more [inmates] needing assistance."
Sex and Meth
- Meth heightens the libido and impairs judgment, which can lead to risky sexual behavior.
- Many users take the drug intravenously, increasing their chances of contracting diseases such as Hepatitis B or C and HIV/AIDS.
One of the most dangerous effects of meth on the body is the increase in sex drive and the lowering of sexual inhibitions among some users, which puts them at risk for sexually transmitted diseases. Although meth is not necessarily an aphrodisiac, it does trigger the release of powerful brain chemicals that may increase sex drive, such as dopamine, which gives the user a sense of well-being and desirability, and adrenaline, which provides the user with a boost in confidence and stamina. Meanwhile, these chemicals impair the judgment centers of the brain. "You do things when you're on meth that you would never do sober," explains
Peter Staley, a former meth user. "You drop your guard. Condoms? Forget about it." Unprotected sex is particularly dangerous for meth users, many of whom inject the drug and may share needles, which can spread deadly diseases such as hepatitis and HIV. Also, because the drug increases energy and stamina, users may have more aggressive sex for longer periods of time, increasing the chances of injury and the danger of spreading infection.
The Chelsea neighborhood in New York City.
In New York's gay community, where meth has been popular since the late 1990s, it has contributed to an increase in infections of HIV/AIDS, which, until recently had been declining. "In New York, we're seeing about 1,000 gay men every year become infected, and that's just unacceptable," says Staley, now an anti-meth activist in the gay community. "It's very sad. It's tragic, and it's almost entirely because of crystal meth." But the meth-related spread of disease is not limited to urban gay communities; anyone engaging in risky sexual behavior or the sharing of needles is highly susceptible. In Oregon, the prevalence of crystal meth, which is often taken intravenously, is thought to be the cause of a recent rise in syphilis cases, and state health officials fear that it might lead to a boom in cases of HIV. "Whether you have a history of drug addiction or not, has not bearing on whether you get addicted to this drug," Staley tells FRONTLINE. "It is Russian roulette, pure and simple. And for a large portion of those who try it, their lives get destroyed."
Meth's cruel irony is that while it increases sexual desire and stamina, it ultimately decreases the user's sexual desirability and performance. Chronic, heavy use of the drug destroys the user's good looks and leads to impotence, known in some gay circles as "crystal dick." Other users report the inability to reach an orgasm at all, despite maintaining arousal for long periods of time. And some users, such as journalist Thea Singer's sister, Candy, lose interest in sex altogether, as meth becomes the sole focus of their lives: "Sex interfered with my drug use," she says.
Meth's Other Effects on the Body
- Increased heart rate
- Disorganized lifestyle
- Lowered resistance to illness
- Liver damage
- Convulsions
- Extreme rise in body temperature, which can cause brain damage
- Stroke
- Death
|
COMMENTS
blog comments powered by DisqusIn order to foster a civil and literate discussion that respects all participants, FRONTLINE has the following guidelines for commentary. By submitting comments here, you are consenting to these rules:
Readers' comments that include profanity, obscenity, personal attacks, harassment, or are defamatory, sexist, racist, violate a third party's right to privacy, or are otherwise inappropriate, will be removed. Entries that are unsigned or are "signed" by someone other than the actual author will be removed. We reserve the right to not post comments that are more than 400 words. We will take steps to block users who repeatedly violate our commenting rules, terms of use, or privacy policies. You are fully responsible for your comments.